МРТ крестцово-подвздошных сочленений
Акция!
Только до конца месяца для Вас мы дарим скидку 10% на МРТ!
Цены
по акции, руб.
Клиника предоставляет справку для налогового вычета.
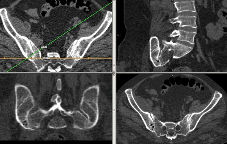
МРТ крестцово-подвздошных сочленений - это информативный и эффективный метод исследования для оценки состояния крестцово-подвздошных (сакроилеальных) суставов. Диагностика позволяет визуализировать, кроме костной основы, мягкие ткани указанной области (хрящевые структуры, связочный аппарат, мышечный корсет). Магнитно-резонансная томография тазовой области применяется для диагностики заболеваний дегенеративного, воспалительного характера, онкологической патологии.
Кроме того, благодаря МРТ крестцово-подвздошных сочленений и костей таза доктор может на ранней стадии обнаружить сакроилеит, болезнь Бехтерева, некоторые артриты, что обеспечит более эффективное и успешное лечение.
Цена МРТ крестцово-подвздошных сочленений в Москве в Кунцевском лечебно-реабилитационном центре максимально приемлема для каждого пациента. В нашей клинике работают лучшие специалисты, которые проводят томографию на новейшем оборудовании.
Дополнительно для наших пациентов работает бесплатная парковка, а здание центра находится недалеко от станции метро “Молодежная”. Сделать МРТ копчика в будние дни вы можете с 8 утра до 21 вечера, а в выходные дни - с 9 утра до 20 вечера.
Почему МРТ крестцово-подвздошных сочленений стоит сделать в Кунцевском центре?
Когда необходимо провести исследование?
МРТ крестцово-подвздошных сочленений и костей таза имеет определенные показания, при наличии которых врач назначает диагностику:
- постоянная и интенсивная боль в поясничном отделе позвоночника и тазовой области;
- болевой синдром в области крестцово-подвздошного сустава;
- припухлость в районе таза, крестца и копчика;
- травматическое повреждение позвоночного столба;
- генетическая предрасположенность к болезни Бехтерева (анкилозирующему спондилоартриту).
МРТ крестцово-подвздошных сочленений имеет такие же противопоказания, как и другие виды магнитно-резонансной томографии. Лечащий врач перед исследованием перечисляет пациенту противопоказания к выполнению метода. Подробнее узнать об условиях, при которых нельзя проводить магнитно-резонансную томографию, вы можете в нашей статье МРТ всего организма.
Диагностическое исследование часто используют, если при рентгенографическом обследовании не видно четкой картины заболевания или доктор сомневается относительно диагноза при схожести клинической картины у некоторых патологий.
Нередко МРТ крестцово-подвздошных сочленений и костей таза применяют для оценки динамики состояния пациента при использовании какой-либо схемы лечения. Благодаря качественному снимку и высокой информативности диагностического метода доктор имеет возможность оценить эффективность терапии и откорректировать ее для достижения лучшего результата. В Кунцевском лечебно-реабилитационном центре МРТ крестцово-подвздошных сочленений для вас сделают опытные доктора на современном оборудовании по приятной стоимости.
Ход исследования
Подготовка к МРТ крестцово-подвздошных сочленений состоит лишь в отказе от приема пищи за 4-6 часов до диагностики.
Если человек не может длительное время находиться в статическом горизонтальном положении, доктор выполняет седацию с помощью введения препарата для медикаментозного сна. Затем человеку необходимо лишь выполнять команды врача. Перед исследованием обязательно необходимо снять все металлические предметы и аксессуары. Исследование длится не более получаса, затем, через некоторое время, врач выдает пациенту расшифровку диагностики. При необходимости и по желанию пациента в Кунцевском лечебно-реабилитационном центре доступна запись диагностики на цифровой носитель.
Что показывает МРТ крестцово-подвздошных сочленений? Благодаря диагностике лечащий врач получает возможность обнаружить у человека:
- травматическое повреждение крестцово-подвздошных суставов;
- анатомические нарушения в строении сочленения;
- деформацию сочленений, изменение их структуры и формы;
- подтвердить наличие остеофитов, экзостозов, участков опухолевого роста, метастазов.
МРТ отлично визуализирует онкологическую патологию: вплоть до структуры, размеров, формы опухоли или метастазов.
Цена МРТ крестцово-подвздошных сочленений в нашей клинике доступна для каждого пациента. Весь прайс вам с удовольствием озвучит консультант нашего центра! Вместе с нашим консультантом вы определитесь с датой и временем диагностики, и вам необходимо будет лишь приехать в назначенное время по адресу нашего центра, указанному на сайте.
Запись на обследование можно сделать с помощью любого из доступных для наших пациентов способов:
- позвонить по номеру телефона нашего центра: +7 (495) 103-99-55,
- заказать обратный звонок,
- записаться на МРТ через удобную форму на сайте: Записаться на МРТ крестцово-подвздошных сочленений.
Ваш запрос принят!
Наши менеджеры свяжутся с Вами в ближайшее время для уточнения всех деталей.
Задайте Ваш вопрос по телефону
+7 (495) 103-99-55Заказать обратный звонок








