МРТ селезенки
Акция!
Только до конца месяца для Вас мы дарим скидку 10% на МРТ!
МРТ селезенки – это диагностический метод с точными результатами и безболезненной для пациента процедурой обследования указанной зоны на МР-томографе. Метод МРТ поможет уточнить диагноз при различных заболеваниях и незаменим при подозрении на онкологию. Выполняется как самостоятельное обследование, так и в комплексе МРТ органов брюшной полости, проводится с применением контрастного вещества или без.
Сделать магнитно-резонансную томографию селезенки в Москве ежедневно можно в Кунцевском лечебно-диагностическом центре. Запишитесь на удобное время обследования и приходите по адресу: Москва, ул. Партизанская, д. 41.
Цены на МРТ селезенки
по акции, руб.
Клиника предоставляет справку для налогового вычета.
Обследования в клинике платные. Цены на МРТ селезенки доступны и сопоставимы со стоимостью услуг в других медицинских центрах Москвы. Среди преимуществ обслуживания в Кунцевском центре: разумная ценовая политика, обследования на высокоточном оборудовании с опытными врачами и отличный сервис.
От чего зависит стоимость МРТ селезенки
Цена томографии в разных клиниках зависит от нескольких факторов:
- тип аппарата – высокопольный томограф с магнитным полем 1,5 Т стоит дороже, чем менее мощный томограф (с мощностью до 1 Т), но делает снимки лучшего качества;
- использование контрастного препарата, что сказывается на стоимости процедуры, но позволяет получить более информативные снимки;
- область исследования – проверить селезенку можно в ходе двух процедур: МРТ селезенки и МРТ органов брюшной полости (куда входит исследование печени, желчного пузыря, селезенки, поджелудочной железы, лимфоузлов). Цена МРТ одной только селезенки будет дешевле, чем цена комплексного обследования.
Также на цене процедуры могут сказаться акционные условия и дополнительные скидки. Уточнить стоимость МРТ селезенки можно по телефону клиники.
Суть и преимущества метода
Метод МРТ основан на реакции атомов водорода в клетках тканей на радиочастотные импульсы и магнитное поле. Аппарат улавливает отраженные сигналы и использует их, чтобы создать топографию обследуемых органов в разных плоскостях.
Преимущества методики:
- безопасность для пациента – нет ионизирующего или другого вредного и травматического воздействия на организм, побочных эффектов;
- безболезненность – максимальный дискомфорт от процедуры, который возможен, - это чувство тепла в зоне обследования и беспокойство от шума работающего аппарата;
- минимальное количество противопоказаний и возможность повторять процедуру несколько раз при необходимости;
- оперативность – вся процедура от начала до выдачи заключения займет не больше 2-х часов;
- информативность – на высокоинформативных снимках можно увидеть онкологические и другие патологии размером от нескольких миллиметров.
Почему МРТ селезенки стоит сделать в Кунцевском центре?
Показания к МРТ селезенки
Селезенка – своеобразный фильтр организма, который помогает бороться с вредными бактериями, и место хранения такого важного микроэлемента, как железо. Первичные нарушения в ее работе - редкость, но работа селезенки меняется от патологий других органов.
Показаниями для обследования могут служить:
- увеличение размеров органа;
- сниженный иммунитет, частые инфекционные заболевания;
- повреждения органа при травмах;
- гематомы, которые появляются часто и даже при незначительных ушибах;
- подозрение на кисты, новообразования, нарушения структуры.
Кроме того, МРТ диагностика может быть назначена при наличии следующих жалоб пациента:
- высыпания, изменение цвета кожи пациента;
- боли в области лопатки и плеча;
- тошнота, чувство сдавливания после еды.
МРТ селезенки информативно для диагностики лейкоза, гнойного воспаления, инфаркта, кист, новообразований, нарушения структуры и других патологий.
Противопоказания
Ограничениями для проведения МР-томографии служат:
- металлические объекты внутри тела: штифты, спицы, эндопротезы, клипсы на сосудах и другие инородные тела;
- судорожный синдром;
- кардиостимулятор, нейростимулятор, инсулиновая помпа, ушные импланты;
- беременность.
В этих случаях МРТ селезенки заменят на УЗИ или другие процедуры.
Подготовка к МРТ селезенки
Назначая обследование, врач должен предупредить пациента о необходимости подготовки к процедуре МРТ. Подготовка направлена на снижение газообразования в кишечнике. Для этого рекомендуется:
- исключить из рациона сдобную выпечку, свежие фрукты, бобовые, молоко;
- отказаться в день процедуры от курения, крепких чая и кофе;
- принимать препараты, снижающие газообразование;
- очистить кишечник и прийти в клинику натощак.
Также стоит обратить внимание на выбор одежды для обследования – на ней не должно быть металлических элементов. МРТ желательно сделать утром до 12:00. Процедура проводится при пустом мочевом пузыре.
Как проводится процедура
Пациент должен прийти в клинику за 10-15 минут до назначенного времени обследования. С собой желательно иметь направление на МРТ с указанием предварительного диагноза и зон, которым нужно уделить повышенное внимание.
До входа в кабинет с томографом необходимо переодеться в одноразовую одежду (или можно использовать свою, если на ней нет металлической фурнитуры), оставить в шкафчике мобильный телефон, ключи и другие личные вещи.
Пациент располагается на столе томографа, а для обеспечения неподвижности в ходе процедуры могут использоваться специальные фиксаторы для тела. При необходимости провести исследование с контрастированием, внутривенно вводят специальное вещество на основе солей гадолиния. Это парамагнетик, который контрастирует (делает заметней) патологические участки и особенности кровообращения в обследуемой зоне.
В процессе сканирования пациент находится в освещенном и вентилируемом туннеле томографа, может общаться с медицинским персоналом с помощью переговорного устройства. По ходу процедуры пациента просят задержать дыхание на 15-20 секунд для увеличения четкости снимков.
Время обследования составляет около 30 минут, после чего нужно будет подождать анализа снимков и подготовки заключения.
Что показывает МРТ селезенки?
Сделать МРТ селезенки могут назначить врачи-терапевты или другие узкопрофильные специалисты. По результатам можно определить:
- пороки развития или аномальное расположение органа;
- увеличение селезенки – спленомегалию;
- воспаление из-за инфекционных заболеваний (тифа, инфекционного мононуклеоза) и других причин;
- кисты и другие нарушения структуры;
- последствия травм: гемангиомы, разрывы;
- перекрут или другие нарушения ножки селезенки из-за травм, диафрагмальных грыж, ослабленных связок, увеличении органа по разным причинам;
- скопления гноя, атрофия, некроз тканей;
- инфаркт селезенки – нарушение кровообращения из-за сужения или тромбоза артерий органа;
- доброкачественные опухоли: сосудистые патологии – гемангиомы, новообразования лимфоидной ткани – лимфомы, лимфангиомы, узловые поражения – гамартомы, эндотелиомы, фибромы и другие;
- лейкоз и другие злокачественные перемены в органах кроветворения: печени, селезенки;
- гемохроматоз – врожденное или приобретенное избыточное накопление железа в селезенке.
Эти и другие изменения хорошо заметны на трехмерных послойных снимках даже на ранних стадиях.
Расшифровка МРТ
МРТ селезенки с контрастом будет длиться около 30-40 минут. Процедура без контраста –20-30 минут. Сразу после окончания специалисты проанализируют полученные результаты.
Расшифровка снимков займет 30-60 минут. В заключении специалист указывает норму или обнаруженные патологии, если они будут выявлены. Снимки распечатываются на пленке или записываются на диск.
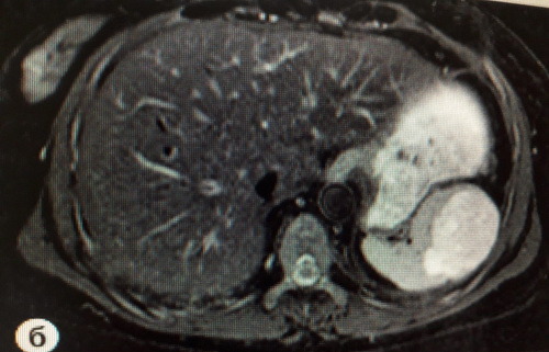
МРТ селезенки на снимках
МРТ снимок здоровой селезенки
МРТ снимок с патологией – опухоль
Где сделать МРТ селезенки?
Пройти обследование недорого и на современном оборудовании с точными результатами можно в Кунцевском лечебно-диагностическом центре. Записывайтесь на удобное время и приходите по адресу: Москва, ул. Партизанская, д. 41 (район Кунцево, недалеко от станции метро «Молодежная»).
Запись на МРТ селезенки
Записаться на обследование и консультацию можно удобным способом:
- по телефону: +7 (495) 153-86-01;
- через заказ обратного звонка на сайте;
- заявкой на сайте.
Часто задаваемые вопросы о МРТ
Когда нужно применять контраст при МРТ?
МРТ с контрастированием – это развернутое исследование структуры и тканей организма. Использовать контраст назначают при подозрении на онкологию, чтобы определить наличие опухоли, ее границы, структуру, характер.
Можно ли делать МРТ без назначения врача, если что-то беспокоит?
Можно, процедура безболезненна и безвредна для организма. Но направление от врача содержит информацию об области исследования и необходимой методике процедуры, предполагаемых диагнозах, цели процедуры. Такая оценка будет более информативной, а МРТ без необходимости (по инициативе пациента) может стать поводом для переживаний, если будут выявлены какие-то особенности, отклонения от нормы в обследованной зоне.
Что лучше МРТ или КТ при обследовании селезенки?
Главная разница между МРТ и КТ – в принципе действия метода - за счет чего возможна диагностика. У КТ это рентгеновское излучение, у МРТ – мощное магнитное поле. Рентген и КТ с его ионизирующим облучением более вредны для организма, чем МРТ, что ограничивает применение метода. Кроме того, МРТ более информативно для оценки мягких тканей, в том числе селезенки. Однако МРТ делать дольше – процедура займет до получаса, что может стать проблемой для пациентов с клаустрофобией.
Что делать для обследования селезенки – УЗИ или МРТ?
И УЗИ, и МРТ – информативные и безопасные методики. Но МРТ дороже, длится дольше, поэтому для первичной диагностики назначают УЗИ. Если его результаты нужно уточнить, речь о подозрении на опухоль, – врач может порекомендовать МРТ.
Какие побочные эффекты и риски для здоровья есть у МРТ с контрастом?
Для контрастирования применяются препараты с солями гадолиния. Они безопасны для здоровья, гипоаллергенны, быстро выводятся из организма и не оказывают побочных эффектов. Осторожность требуется только людям с тяжелой формой почечной недостаточности (о чем должен предупредить врача пациент) из-за увеличения нагрузки на почки.
Коронки и зубные протезы являются противопоказанием для МРТ?
Все зависит от материала изготовления. Большинство современных стоматологических штифтов, протезов, коронок сделано из металлов с пара- и диамагнетическими свойствами. На них слабо действует магнитное поле, поэтому МРТ может быть разрешено. О наличии коронок и зубных протезов необходимо сообщить врачу, который назначает обследование.
Это больно?
Нет, процедура безболезненная. Пациент может ощущать незначительное тепло в области обследования, и кто-то отмечает беспокойство от щелчков и шума работающего томографа. Если делаете процедуру впервые и сильно переживаете, можно принять успокоительные препараты.
Список литературы
- Соловьева А.А., Яцык Г.А., Джулакян У.Л., Лукина Е.А. Магнитно-резонансная томография печени и селезенки в диагностике болезней накопления (обзор литературы). Онкогематология 2018;13(2):100—104
Ваш запрос принят!
Наши менеджеры свяжутся с Вами в ближайшее время для уточнения всех деталей записи.
Задайте Ваш вопрос по телефону
+7 (495) 103-99-55Заказать обратный звонок








